3才から大人まで。歯並びを機能的に組み上げましょう
私たちの口の中は、歯とそれを支える筋肉、骨がそれぞれに影響しあいながら機能しています。そのため、何かひとつがくずれると、時間とともに全体のバランスが崩壊することがあります。
当院の願いは、患者さまのお口の環境を良い状態につくりあげ、長く維持すること。お口の中で起こる悪いことの大半は、「咬み合わせに原因がある」といっても過言ではありません。
そのひとつが受け口(反対咬合)です。下顎が上顎より前に出ている状態を放置していると、上顎が圧迫されてさらに下顎が大きくなってしまうこともあります。他にも歯並びのくずれを補正するために顎がゆがんだ動きをしてしまい、肩や腰の骨格にまで影響することもあります。受け口は自然治癒する可能性がないとはいえませんが、できるだけ早い内に器具を使うなどして全体の調和を整えるべきとされます。
治療法としては、透明なマウスピース状の機能的顎矯正装置(ムーシールド)を就寝時に装着して口内のバランスを取り戻すことから始めます。ただし、この治療法のみで全ての方が治癒するわけではないので、治療効果が見られず、問題が残るようであれば、さらに次のステップのブラケット装置などを使った矯正治療を検討していきます。
ムーシールド症例紹介(3歳から始めることが出来る受け口治療)
Vol.1
Before
下顎前突の治療前。
After
治療終了後。
Vol.2
Before
治療前。
After
治療終了後。
Vol.3
Before
治療前。
After
治療終了後。
Vol.4
Before
治療前。
After
治療終了後。
Vol.5
Before
治療前。
After
治療終了後。
Vol.6
Before
治療前。
治療終了時。
After
治療終了から5年後。
Vol.7
Before
治療前。
After
治療終了後。
なぜ歯並びは悪くなるのでしょうか?
歯並びが悪くなる原因は、両親からの遺伝という要素が大きいのは事実です。しかしそれ以外にも、普段の生活習慣が良くない場合もあります。
子どもの歯並びが悪くなる原因として、しばしばいわれるのが「指しゃぶり」です。もし5〜6才になってもクセが続いていると、出っ歯やオープンバイト(開咬)の原因となります。
また、やわらかいものばかり食べて咀嚼する回数が少なかったり、テレビを見ながら食事するなどして口をぽかんとしていると、顎の発育が足りず八重歯の原因になるといわれます。
逆にいえば、小さい頃からそういったことに気をつけていると歯並びを悪くする原因からは遠ざかるともいえます。
子どもの矯正は何才から?
歯列矯正はお子さまに限らず、何才からでも始めることができます。しかし成長期を迎える前に問題を改善できれば、全体の発育を管理・コントロールできますので、低コストで確実に歯並びを整えることが可能です。
乳歯が完成する3才半頃から、顎の骨の形状やバランスを長期的な視点で見ることができれば、不正咬合の原因はほぼ取り除くことができます。
その次の目安となるのは、小学校低学年から中学生にかけての乳歯から永久歯への歯の生えかわる頃。この時期に永久歯の生え方をしっかり管理すれば、以降の矯正が必要なくなることもあります。
また永久歯が生えそろう手前の10~12才頃も顎のバランスを整えるのに適した時期です。
いずれにしても、どの歯が不適切な位置に生えてしまうかは人それぞれです。お子さまの咬み合わせが顎の成長にどう影響するかは、できるだけ早くから観察させていただくに越したことはありません。
歯並びが悪いと、いろいろなことが起きてしまいます
- 歯磨きしにくいために、虫歯、歯周病、口臭の原因になる
- しっかり噛めないから消化が悪く、成長を阻害する原因になる
- 滑舌が悪くなり、特定の発音がはっきりしない原因になる
- どうにかして咬もうとするので顎に無理な力がかかり、頭痛や肩こり、顎関節症の原因になることも
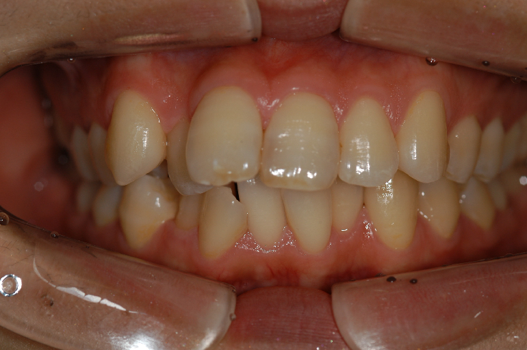
小児矯正症例紹介(主に小学校1年~6年の学童期の治療)
Vol.1
Before
治療前。
Halfway through
治療途中。
Halfway through
治療終了時。
After
治療終了から3年後。
Vol.2
Before
治療前。
床装置での治療中。
Halfway through
マルチブラケットでの治療中。
Halfway through
治療終了時。
After
治療終了から3年後。
Vol.3
Before
治療前。
床装置での治療中。
Halfway through
マルチブラケットでの治療中。
Halfway through
治療終了時。
After
治療終了から3年後。
Vol.4
Before
治療前。
床装置での治療中。
Halfway through
床装置での治療中。
Halfway through
治療終了時。
After
治療終了から5年後。
Vol.5
Before
治療前。
After
治療終了後。
Vol.6
Before
治療前。
Halfway through
床装置作成中。
Halfway through
マルチブラケットでの治療中。
After
治療終了から3年後。
Vol.7
Before
治療前。
Halfway through
床装置での治療中。
Halfway through
治療終了時。
After
治療終了から6年後。
Vol.8
Before
治療前。
After
治療終了後。
成人矯正症例紹介(主に12歳以降で永久歯が生え揃った状態の治療)
Vol.1
Before
治療前。
After
治療終了後。
Vol.2
Before
治療前。
After
治療終了後。

