良い咬み合わせ、歯の健康、そしてその環境を維持する集大成としての審美歯科
審美歯科とは、いわば「悪いところを治す」以上に「きれいに美しく治す」ための治療です。きれいな歯の代名詞ともいえる「白い歯」の実現だけでなく、良い歯並びと咬み合わせ、歯とその周りの組織の健康、そして歯ぎしりや食いしばりといった歯に良くない習慣の改善を含めて、最新技術を駆使して口もとと顔全体のバランスを考えた美しさをご提案いたします。
審美歯科はこのような方にお勧めです
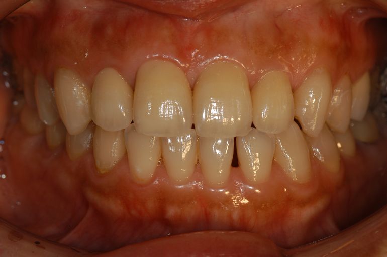
症例紹介 Vol.1
Before
治療前。
After
審美修復後。
Vol.2
Before
治療前。
After
審美修復後。
ホワイトニング
白い歯には清潔感があり、見た目が良いのはもちろんですが、そのことで歯を見せることに躊躇がなくなり精神的な向上効果もあります。
薬剤を使って歯を白く輝かせる治療で、「ホームホワイトニング」と「オフィスホワイトニング」の2種類ございます。
ホームホワイトニングは、患者さまのお口に合わせてマウスピース状の器具を作成し、ご自宅で薬剤をつけて一定時間装着していただきます。対してオフィスホワイトニングは、院内で薬剤を塗布して白くするものです。
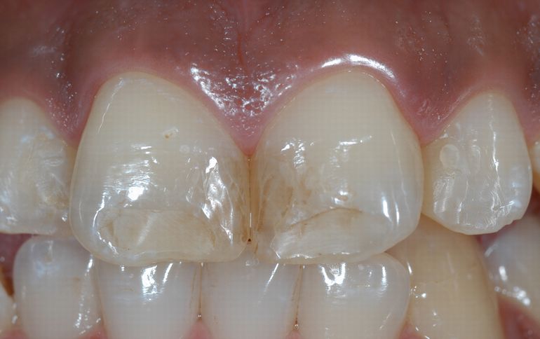
症例紹介
Before
歯牙漂白(ホワイトニング)希望
After
2週間後
歯ぐきのホワイトニング
タバコの習慣などによってメラニン色素が沈着し、歯ぐき(歯肉)が黒ずんでしまうことがあります。それを特殊な薬剤を使ったり、レーザー治療器を使い、元の健康的なピンク色に戻します。
症例紹介 Vol.1
Before
歯肉の色が気になるというお悩み。
After
歯肉のメラニン色素をレーザーで除去。
Vol.2
Before
前歯をキレイにして欲しい、歯茎の色が気になるというお悩み。
After
メタルタトゥー(歯茎の黒ずみ)をレーザーで除去して、補綴治療による審美治療。
クリーニング
歯そのものは変色していなくても、茶渋やタバコのヤニ、またプラーク(歯垢)などによって通常の歯磨きでは落とせない汚れがついてしまうことがあります。これらはPMTCと呼ばれるプロフェッショナルなクリーニングによって、きれいにとりのぞけます。歯がつるつるになり、気分爽快になる効果もあります。
ラミネートベニア
気になる歯の表面をうすく削り、その上に付け爪のようなセラミックを貼り付ける治療です。形や大きさを自由に調整できるので、歯の隙間や変色など軽度の歯並び改善を歯列矯正なしに気軽に行なうことができます。
症例紹介
Before
前歯の色を綺麗にしたい。
After
前歯2本をラミネートベニア法を用いて治療。
オールセラミック
古い差し歯や被せものは、いつのまにか色が変わっていたり境目が黒ずんでしまっていたりすることがあります。オールセラミッククラウンは、すべてセラミックでつくられており、患者さまの歯の色調に合わせて調整しながらお作りできます。また金属アレルギーの心配もありません。
症例紹介 Vol.1
Before
前歯を綺麗にしたい。
After
前歯3本オールセラミックにて修復。
Vol.2
Before
(上顎治療前)金属アレルギーでお悩みの方。
After
(上顎治療終了後)オールセラミック、レジン修復。
Before
(下顎治療前)金属アレルギーでお悩みの方。
After
(下顎治療終了後)オールセラミック、レジン修復。
Vol.3
Before
治療前。
After
治療終了後。
Vol.4
Before
治療前。
After
オールセラミックにて修復。
Vol,5
Before
前歯4本の歯の色と歯茎の色が気になる。
前歯の隙間をなくして欲しい。
After
グラスファイバーポストを使用。
前歯4本ジルコニアオールセラミッククラウン法で治療。

