自然な咬み心地を取り戻して、いつまでも若々しく
私たちの天然の永久歯は、不幸にも一度失ってしまえば二度と元通りになることはありません。そして歯は上下の咬み合わせで全体のバランスを保っているものですから、一本でも欠けてしまうと、食べる際の不快感や制限などさまざまな不満を感じてしまうものです。
インプラントは、歯を支える土台としてチタン製の人工歯根を顎の骨に埋め込み、その上で被せものをすることで自然の歯と変わらない機能と見た目を復活させるものです。入れ歯やブリッジと比べて違和感の少なさは段違いで、また残っている健康な歯にダメージを与えることもありません。
インプラントのメリット・デメリット
インプラントのメリット
- ブリッジ治療のように隣接する天然歯に負担をかけません。
- 入れ歯のような「ずれ」や「すべり」がなく、しっかり噛めます。
- 噛む機能を取り戻せるだけでなく、仕上がりの美しさから心身ともに健康的になれます。
インプラントのデメリット
- 適応症があり、すべての患者さまが治療できるわけではありません。
- ほかの治療方法に比べ、治療期間が長くコストもかかります。
- 毎日のケアと定期的なメンテナンスが必要不可欠です。
- 外科処置を伴う治療ですので、出血、感染、神経の損傷、しびれ、麻痺、その他不快な後遺症等、予測のできない症状が出るリスクの可能性があります。
インプラント治療の難しい方
基本的に健康な成人の方であれば誰でもインプラント治療は可能ですが、妊娠中または全身疾患をお持ちの方については、インプラント治療できない場合があります。
またインプラントを長持ちさせるには、毎日のブラッシングと定期的な歯科医院でのメンテナンスが必要不可欠です。それを守ることができないという方には、お勧めできません。喫煙習慣のある場合も、インプラントやほかの歯に悪影響があるため治療をお勧めしておりません。
インプラント症例紹介
Vol.1
Before
奥歯がなくて咬めない。
After
右上2本、左下2本、
計4本インプラント埋入。
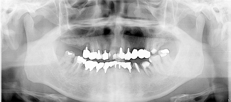
Vol.2
Before
奥歯で咬みにくい、
冠せがとれてしまった。
After
左上1本、右上3本、左下3本、右下1本、
計8本インプラント埋入。
Vol.3
Before
奥歯で咬むと痛い、冠せが次々とれてくるのでどうにかしたいが、
入れ歯は避けたい。
After
右上2本、左下1本、下前歯4本、
計7本インプラント埋入。
Vol.4
Before
奥歯がグラグラになってきて咬めない。
反対側にも歯を入れたい。
After
右下2本抜歯後、インプラント2本・
左下インプラント1本埋入。
メンテナンス時に容易にインプラントを外せるように対応した症例です。
Vol.5
Before
(治療前)正面観。
After
(治療後)正面観。
インプラントと審美修復。
Before
(治療前)上顎。
After
(治療後)上顎。
インプラントと審美修復。
Before
(治療前)下顎。
After
(治療後)下顎。
インプラントと審美修復。
Before
治療前。
After
治療後。
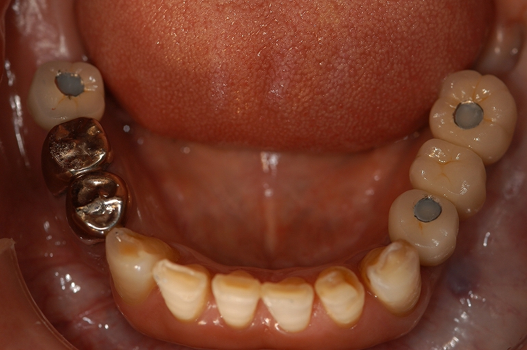
Vol.6
Before
被せが取れたので治してほしい。
周りの歯は削りたくない。
After
奥歯1本インプラント治療。

